UNIVERSITY OF GHANA MEDICAL SCHOOL
Teddy Totimeh
6.2.2022
Background
• 1-3 per 100000
• Glioma and meningioma evenly split
• Significant burden in pediatric population
• No tumor characterization beyond histology
The terrain
• 3 operative centers in 3 cities
• 22 Neurosurgeons
• 3 Radiotherapy Centers
• Limited chemotherapy capacity
• Limited training capacity
Background
• Health care expenditure pattern has not changed since 50 years ago
• More money spent on salaries than innovation and research
• Transition of disease from communicable to non-communicable missed
• Human resource development out of sync with the disease transition
The Reality
• Top non communicable disease accounting for mortality in young people is lifestyle related
• The survival rate is increasing, and Ghana has the largest percentage of older people in the subregion
• Oncology will become the next top killer as our capacity to care gets better
• Brain tumors are the quiet killers
The trend
• Brain tumors for a long time killed undiagnosed
• Imaging has become more available, allowing diagnosis
• Human resource for treatment is limited
• There is no primary health care strategy for screening or prevention
• There is limited expertise for surgical treatment, follow up adjuvant therapy or control of recurrence
The Impact
• Lack of investment means lack of research
• The rest of the world moved on in capacity to diagnose
• Our inability to accurately diagnose, means we have no metric of the size of the problem
• Access is limited to out-of-pocket expenditure
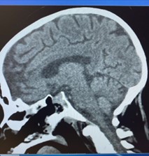
Case Illustration


Barriers
• Training is out of reach
• Equipment is donated
• Supportive therapy is limited
• Follow up is truncated
The way forward
• Entrepreneurship
• The advance of telemedicine and virtual learning
• Governmental strategy to emphasize on the disease transition
• Encouragement of public/private partnerships to develop human resource
Opportunity for Action

